🦷 What Causes Bad Breath Even After Brushing? (How to Get Rid of Bad Breath Permanently at Home)

Have you ever wondered what causes bad breath even after brushing your teeth regularly? You’re not alone. Millions of people struggle with persistent bad breath, also known as halitosis, despite maintaining good oral hygiene.

If you’ve been asking yourself, “why does my breath smell bad all the time?” or “how to get rid of bad breath permanently at home,” this guide will walk you through everything you need to know—from causes to proven solutions.

What Causes Bad Breath Even After Brushing?

“How to Get Rid of Bad Breath Permanently (Top 5 Natural Remedies)”

Understanding the root cause is the first and most important step in learning how to get rid of bad breath permanently at home. Even with regular brushing, certain hidden factors can still lead to persistent odor. Let’s break them down in detail:

1. Bacteria on the Tongue

One of the most overlooked causes of bad breath is the buildup of bacteria on the tongue. The surface of your tongue contains tiny crevices where food debris, dead cells, and bacteria can easily accumulate. These bacteria produce volatile sulfur compounds (VSCs)—the main culprits behind that unpleasant smell. Even if you brush your teeth thoroughly, failing to clean your tongue can leave these odor-causing bacteria untouched, leading to bad breath that lingers throughout the day. 👉 This is why many people still ask: “why does my breath smell bad all the time?”

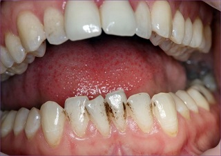
2. Food Particles & Poor Cleaning

When tiny food particles get trapped between your teeth or along the gum line, they begin to break down and decay. This process creates a breeding ground for bacteria, which release foul-smelling gases as they feed on the leftover debris. If brushing and flossing are not done properly—or frequently enough—these particles remain in your mouth, causing persistent odor. Foods like garlic, onions, and sugary snacks can make the problem even worse. 👉 This is a major reason behind bad breath even with good hygiene, especially when flossing is skipped.

Why Do I Have Bad Breath Even With Good Hygiene?

what causes bad breath even after brushing

Even if you brush and floss regularly but still notice persistent odor, the cause of your bad breath may go beyond your mouth. In many cases, underlying issues such as digestive problems—especially acid reflux—can contribute to foul-smelling breath by allowing stomach acids and gases to rise. Sinus infections can also play a role, as mucus buildup creates an environment where odor-causing bacteria thrive. Additionally, tonsil stones are a common hidden culprit; these small, calcified deposits trap bacteria and debris, often leading people to search for solutions like “bad breath from tonsil stones—how to fix.”

How to Get Rid of Bad Breath Permanently at Home

Looking for home remedies for bad breath that really work? There are several simple and effective methods you can easily incorporate into your daily routine. Start by cleaning your tongue regularly with a tongue scraper, as it helps remove bacteria buildup that brushing alone may miss. Staying hydrated is also essential—drinking enough water throughout the day helps flush out bacteria and prevents dry mouth, a major cause of bad breath. In addition, natural remedies like chewing fresh parsley or mint, drinking green tea, or using a baking soda rinse can quickly freshen your breath and reduce odor. You can also try honey and herbal mixtures, which have natural antibacterial properties that help fight odor-causing bacteria and promote overall oral health.

How to Stop Bad Breath Instantly

Need a quick fix for bad breath? There are a few simple and effective solutions you can try right away. Chewing sugar-free gum helps stimulate saliva production, which naturally cleanses the mouth and reduces odor. Rinsing with a good mouthwash can quickly kill odor-causing bacteria and leave your breath feeling fresh. You can also eat crunchy fruits like apples, which help scrub away food particles and promote saliva flow. These easy methods are especially helpful for anyone searching for how to stop bad breath instantly.

Chronic Bad Breath Treatment for Adults

If the problem persists, you may be dealing with chronic halitosis.

🏥 Medical Treatments Include:
  • Professional dental cleaning
  • Treating gum disease
  • Addressing underlying health issues

Many people search for:
👉 how to treat halitosis permanently. The key is identifying the root cause.

Best Products for Bad Breath (Help remove bad breath)

Here are the best products used to eliminate bad breath, based on what dentists recommend and what actually targets the root cause (bacteria on tongue, gums, and teeth—not just masking smell). The key things that matter most are antibacterial action, tongue cleaning, and long-lasting odor control.

🦷 Mouthwash (Fast Results – High Demand)

✅ Why Promote These:

  • Kill odor-causing bacteria
  • Provide instant fresh breath (12+ hours)
  • Dentist-recommended options

📌 Mouthwash helps reduce bacteria that produce sulfur compounds—the main cause of bad breath

Toothpaste (Daily Use = Recurring Sales)

✅ Why Promote:

  • Targets gum disease (a major cause of bad breath)
  • Daily-use = repeat buyers
  • Some include probiotics for long-term results

Oral Probiotics (High Conversion Product)

✅ Why Promote:
  • Fix bad breath from the root (gut + oral bacteria)
  • Growing trend in health niche
  • High commissions compared to basic oral care

📌 Research shows probiotics can help balance oral bacteria and reduce odor-causing compounds

Foods That Cause Bad Breath and How to Avoid Them

Diet plays a huge role.

Foods That Trigger Bad Breath:
Garlic & onions
Sugary foods
Alcohol

✅ Foods That Help Fresh Breath:
Apples
Yogurt
Leafy greens

Best Diet for Fresh Breath All Day

Bad Breath from Stomach? Here’s the Real Fix!

Maintaining a balanced diet can significantly improve your breath.

✔ Include:
  • Fiber-rich foods
  • Water-rich fruits
  • Probiotic foods
❌ Avoid:
  • Processed foods
  • Excess sugar

How to Prevent Bad Breath in the Morning

How to Prevent Bad Breath in the Morning

Morning breath is common, but manageable.

Tips:
  • Brush before bed
  • Stay hydrated
  • Avoid late-night snacks

Bad breath can be frustrating, especially when it persists despite your best efforts. But the good news is—once you identify the cause, it becomes much easier to treat.

Whether it’s improving your oral hygiene, adjusting your diet, or addressing underlying health issues, there are many effective ways to regain fresh, confident breath.

Ready to finally fix bad breath for good?

👉 Start by applying the tips in this guide today
👉 Explore trusted products that support fresh breath
👉 And don’t forget to share this article with someone who might need it!

💬 Have you tried any of these remedies? Drop your experience in the comments!

Share:

More Posts

Elementor #16122

Ulcerative Colitis Diet: What to Eat, What to Avoid, and How to Support Remission A well-structured ulcerative colitis diet can significantly improve symptom control, reduce

Ulcer Diet

What to Eat on an Ulcer Diet for Fast Healing (Complete Evidence-Based Guide) If you’re wondering what to eat on an ulcer diet for fast

Women’s Health

we understand that a woman’s body goes through unique changes throughout life—from hormonal balance and reproductive health to energy, immunity, and graceful aging. That’s why

Select your currency
EUR Euro